

張智傑醫師|顯微根管專科醫師
傳統上根管治療的進行醫師們會依照通常根管可能的位置進行探測,但人的肉眼極限有限,若是在比較後面的牙齒或是複雜的根管型態醫師常常會無法第一時間順利探測到根管的正確位置,有時會為了探測而犧牲較多齒質,假設最後有找到可能牙齒也所剩無幾,運氣不好還可能會沒找到根管,顯微鏡的好處是可以將視野放大數倍,讓我們醫師在做治療時知道我們在處理牙齒哪邊,更有效率地找到根管所在的位置且保留更多齒質,不走更多治療的冤望路。
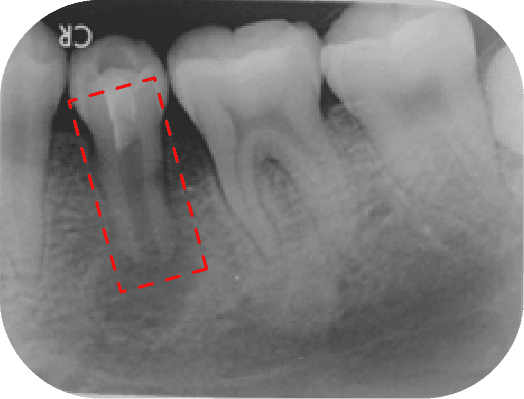
案例分享


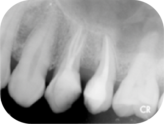
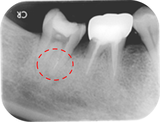
病人因其他院所醫師無法定位根管位置被轉診,在顯微鏡底下可以發現短短不到兩毫米的距離藏有兩根根管(圖中紅線標示處),這是傳統根管治療很難發現的。
一般來說我都會建議只要是後牙都可以使用顯微鏡去處理,每顆牙齒都是獨一無二的,用顯微鏡的好處是讓醫師不用去猜有幾根根管或是根管在哪,而是更有底氣的去做好治療。
除了後牙以外以下這幾種情況也建議使用顯微鏡治療
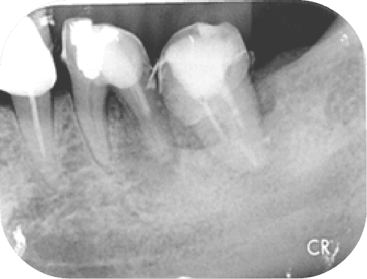
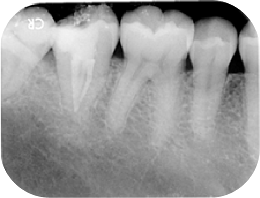
重新根管治療在醫師的角度一直都是比較有挑戰性的治療,因為若是要達到最好的治療成果,我們必須將先前醫師的填補材料移除乾淨,傳統根管治療在移除時都是依靠藥水慢慢泡將材料移除,這種方式效率較差且不一定可以完全移除乾淨,且在較久遠的年代以前台灣根管治療的封填材料與現在的標準有不同,有些以前醫師使用的材料並不是可以用藥水處理的,這時使用顯微鏡搭配超音波器械去安全的移除就是必要的,在好不容易移除完後去改善先前的治療品質也是重新治療的重點之一,使用顯微鏡能幫助醫師有機會看見之前治療所不能發現的死角並達到更完善的清潔
案例分享


病人左下最後兩顆大臼齒在多年前有做過根管,重新治療時因為有顯微鏡輔助可以將之前清潔不下去的根管順利處理好。
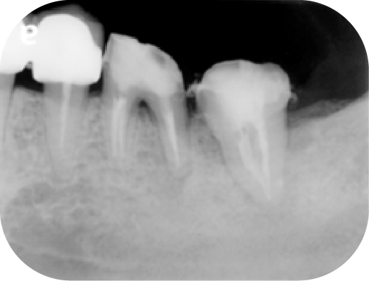
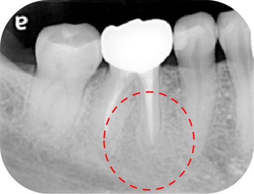
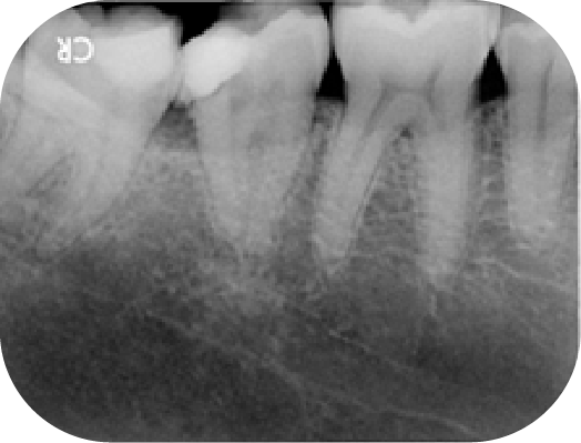
牙齒根管感染較久時在牙根骨頭旁邊可能會有黑黑的影像,那就是骨頭已經受到影響的表現,若放著不管嚴重時可能會演變成蜂窩性組織炎,這類牙齒使用顯微鏡做更高品質的治療也是必要的,做完治療後骨頭即可恢復正常
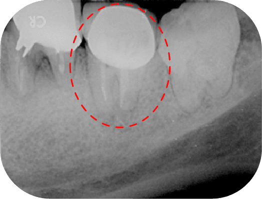
案例分享


左圖中第一大臼齒兩個牙根皆因為根管內的感染造成根尖周圍炎(紅線中黑黑的地方),在根管治療後追蹤一年可發現骨頭都已經恢復正常的樣子
上圖中第一大臼齒兩個牙根皆因為根管內的感染造成根尖周圍炎(紅線中黑黑的地方),在根管治療後追蹤一年可發現骨頭都已經恢復正常的樣子
在台灣人的下排第二大臼齒有滿高的機率根管不會是一條一條而是一個C字形的樣子,這種牙齒醫師用肉眼看時只會是一團黑黑的洞,這時就需要用顯微鏡去仔細區分整個C字形裡有多少根管,才不會像是瞎子摸象一樣的去做治療
案例分享




在根管治療時不管醫師多小心總是有可能會有治療器械斷在根管裡的狀況,這時身為病人充滿焦慮這是一定的,但事實上只要交給專科醫師配合顯微鏡處理,這類牙齒與一般牙齒治療後的成效是沒有什麼差別的
案例分享



左圖紅線中為之前醫師不小心斷裂的器械,中間的照片可以看到白白的那節已經消失,右圖為完成根管治療以及假牙製作
不管是外傷蛀牙或是天生構造特殊而造成病人在牙根還沒發育好時就神經壞死需要做根管治療時,如果是傳統根管治療不但費時且可能會不小心把材料填到牙齒外面,嚴重時可能牙齒就需要拔除,藉由顯微鏡的輔助不但可以更安全的清潔根管,情況允許時甚至可以使用特別的術式使牙根繼續發育完全
案例分享


左圖為還沒治療前,根管空間寬大(黑黑的部分),就算完成傳統治療牙根也會比較脆弱,右圖為顯微鏡輔助牙根再生術後兩年,牙根厚度變厚,牙齒使用年限大幅提升
上圖為還沒治療前,根管空間寬大(黑黑的部分),就算完成傳統治療牙根也會比較脆弱,下圖為顯微鏡輔助牙根再生術後兩年,牙根厚度變厚,牙齒使用年限大幅提升
移除牙釘柱、牙根有內外吸收、牙齒有破孔等等,在傳統治療成效不好的案例用顯微鏡都可以顯著的幫忙
目前根管專科醫師全台灣目前不到五百人,要取得專科醫師資格至少都要在各大醫學中心等專門機構訓練兩年以上,這些時間都是專門做一般診所無法處理的案例,並且由資深的專科醫師指導完成,完成訓練後還需要經過全台灣的審查委員面對面考核過才能取得專科醫師證書,專科醫師對於困難案例的掌握度及效率都是可預期的,找專科醫師可以減少治療時繞遠路。
手術性的根管治療是指直接將牙根切除感染最嚴重的部分,手術方式分為兩種,一種是將牙肉翻開後從側邊將牙根切除,另一種是若牙齒位置較後面我們可以將牙齒直接拔下來切除感染的牙根部位後再將牙齒放回原位,這個術式稱為蓄意再植。這兩種術式在切除完牙根後都會以顯微鏡檢查剩餘牙根是否有裂痕或是特別的根管構造,並且移除部分剩餘根管充填材料置換成對人體較好的生物水泥。
少部分根管感染太嚴重的病人在做完根管治療後症狀不能得到緩解,懷疑牙根有裂痕,或是牙齒已經有假牙及不好拆除之牙釘,這時採用手術的方式可以迅速的去除病因。


患者原本就有一組牙橋,但其中一顆牙長了膿包,X光檢查發線有根尖周圍炎的狀況,若要拆除重新根管治療療程會較長且需要再多負擔新假牙之費用,用手術可以快速的處理此類病例

切除感染最嚴重的牙根部分

顯微鏡底下檢查牙根是否有斷裂之情況

以生物水泥置換原本的封填材料,以達到更好的治療品質

手術結束後一年可見根尖周圍炎的狀況恢復良好,膿包也都沒復發,病人也無需更換舊有假牙。
左圖為病人術前左下第二大臼齒有膿包,經過一般傳統根管治療後膿包還是沒消,我們直接藉由將牙齒蓄意拔下來並直接切除感染較嚴重的部分,在拔下來不到十分鐘左右的時間再將牙齒植回原本的位置,右圖為術後半年,可見牙齒周圍骨頭恢復良好,牙齒也很穩定不會搖動。
上圖為病人術前左下第二大臼齒有膿包,經過一般傳統根管治療後膿包還是沒消,我們直接藉由將牙齒蓄意拔下來並直接切除感染較嚴重的部分,在拔下來不到十分鐘左右的時間再將牙齒植回原本的位置,下圖為術後半年,可見牙齒周圍骨頭恢復良好,牙齒也很穩定不會搖動。



捷運板南線
土城站2號出口
(步行約10分鐘可達)

午診14:00-17:00
(每周日固定休診)
09:30-12:00
14:00-17:30
18:00-21:00
週日固定休診